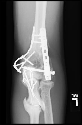
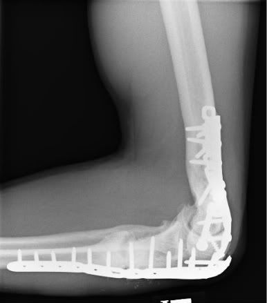
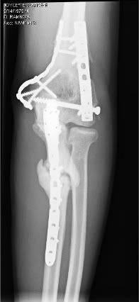
Before going under knife on July 20th, most would tease me with comparisons to Marvel's Wolverine as a result of the comical amount of surgical hardware I have holding my frame together.
Hunky superhero jokes aside, I've been living with several left ulna "non-unions" since 2005 resulting in "overactive bone growth" in my arm.
Too bad it didn't effect other parts of my body.


#highpaintolerancebitches!
Following my recent surgery, though, I only wish I was blessed with those crazy regenerative powers he has.


And that cool hairdo, of course.


No comments:
Post a Comment